El tratamiento de conducto, también conocido como endodoncia, es un procedimiento esencial para salvar dientes gravemente dañados por caries profundas o infecciones. La endodoncia permite conservar la estructura dental natural, evitando extracciones y restaurando la función masticatoria. En Dental Glow PTY, realizamos tratamientos de conducto con tecnología avanzada y técnicas precisas para asegurar resultados duraderos y confort del paciente.
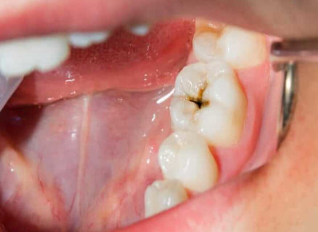
La endodoncia se realiza cuando la pulpa dental, el tejido interno que contiene nervios y vasos sanguíneos, se encuentra infectada o inflamada. Los síntomas pueden incluir dolor intenso, sensibilidad prolongada al frío o calor, inflamación de encías y cambios de color en el diente afectado. La intervención temprana previene complicaciones como abscesos o pérdida dental.
El procedimiento inicia con diagnóstico clínico y radiográfico. La radiografía permite evaluar la extensión de la infección, la anatomía de los conductos radiculares y posibles complicaciones. La planificación precisa es fundamental para garantizar la limpieza completa de los conductos y evitar fracturas o reinfecciones.
Durante el tratamiento, se aplica anestesia local para asegurar comodidad y eliminar cualquier dolor. Se realiza una apertura en la corona del diente para acceder a la pulpa, seguido de la limpieza y desinfección de los conductos. Se utilizan instrumentos de precisión y sistemas mecanizados que optimizan la limpieza, garantizando la eliminación completa de bacterias y restos de tejido infectado.
Posteriormente, los conductos se rellenan con materiales biocompatibles, como gutapercha, que sellan herméticamente los espacios y previenen reinfecciones. Finalmente, se coloca una restauración temporal o definitiva, dependiendo de la necesidad de reconstrucción posterior. Las restauraciones pueden incluir empastes, incrustaciones o coronas, asegurando la resistencia y estética del diente tratado.
El seguimiento post-tratamiento incluye revisiones periódicas para verificar la integridad de la restauración y la salud del diente. Los cuidados en casa, como higiene oral meticulosa y control de hábitos de mordida, son esenciales para prolongar la vida útil del tratamiento.
Por qué elegir nuestro proceso dental
En Dental Glow PTY, utilizamos tecnología de punta, incluyendo sistemas de localización digital y magnificación, que permiten una endodoncia más precisa, rápida y segura. Cada tratamiento se realiza bajo estrictos protocolos de asepsia y control, garantizando eficacia y confort para el paciente.


La endodoncia protege el diente natural, mantiene la función masticatoria y previene complicaciones graves, asegurando salud y estética a largo plazo.