Resina & Porcelana

Carillas Dentales

Carillas Dentales Carillas Dentales

Carillas Dentales (Resina & Porcelana)

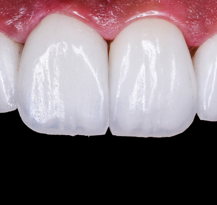
Las carillas dentales son finas láminas que se colocan sobre la superficie frontal de los dientes con el propósito de mejorar su estética y armonía. Este tratamiento es una de las soluciones más efectivas en odontología estética, ya que permite corregir problemas de color, forma, tamaño o leves desalineaciones sin necesidad de realizar intervenciones invasivas en la estructura dental.

Las carillas pueden ser de resina compuesta o de porcelana. Las de resina se aplican directamente sobre el diente en una sola sesión, ofreciendo resultados inmediatos y la posibilidad de realizar ajustes y reparaciones sencillas. Su principal limitación radica en su menor durabilidad y mayor susceptibilidad a manchas en comparación con la porcelana. Por otro lado, las carillas de porcelana son fabricadas en laboratorio a partir de impresiones precisas de la dentadura. Su aspecto es extremadamente natural, su resistencia al desgaste y a las manchas es superior, y su durabilidad puede superar los diez años, aunque su colocación requiere normalmente dos visitas y un costo mayor.

Carillas Dentales
Carillas Dentales

Procedimiento

El procedimiento comienza con una evaluación exhaustiva de la sonrisa del paciente, considerando no solo los dientes a tratar, sino también la forma facial, la proporción de los dientes y el color natural del esmalte. Tras esta evaluación se realiza la preparación del diente, que consiste en la remoción mínima de esmalte para crear espacio para la carilla sin afectar la mordida. En el caso de las carillas de porcelana, se toman impresiones o escaneos digitales de la dentadura, los cuales se utilizan para fabricar las láminas con precisión. Una vez listas, las carillas se adhieren al diente mediante cementos especiales y se ajusta cuidadosamente la mordida y la estética final, asegurando que el resultado sea completamente natural.

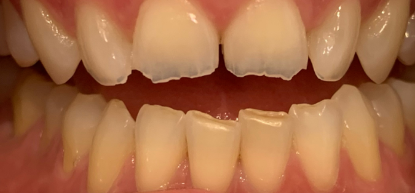
Este tratamiento es especialmente indicado para personas con dientes manchados, fracturados o desgastados, para corregir pequeños espacios entre dientes o leves malposiciones. No es recomendable para pacientes con bruxismo no tratado, dientes con caries extensas o enfermedad periodontal activa, ni cuando la estructura dental no es suficiente para asegurar la adhesión de la carilla. Después del procedimiento, es fundamental mantener una higiene oral rigurosa y evitar hábitos que puedan dañar las carillas, como morder objetos duros o consumir en exceso alimentos y bebidas que manchan. Con los cuidados adecuados, las carillas de resina pueden durar entre tres y cinco años, mientras que las de porcelana pueden superar una década.

Beneficios

Los beneficios de las carillas dentales son notables: permiten transformar la sonrisa de forma rápida y estética, restaurar la forma y el tamaño del diente, mantener la mayor parte de la estructura dental natural y mejorar significativamente la confianza y la autoestima del paciente. Por su capacidad para ofrecer resultados naturales y duraderos, este tratamiento se ha consolidado como una opción preferida en odontología estética avanzada.

Instagram preview

¡Conéctate con nosotros!

Descubre lo que hacemos día a día en nuestra cuenta de Instagram.

Síguenos ahora