Restauraciones

Coronas Dentales

Coronas Dentales Coronas Dentales

Coronas Dentales

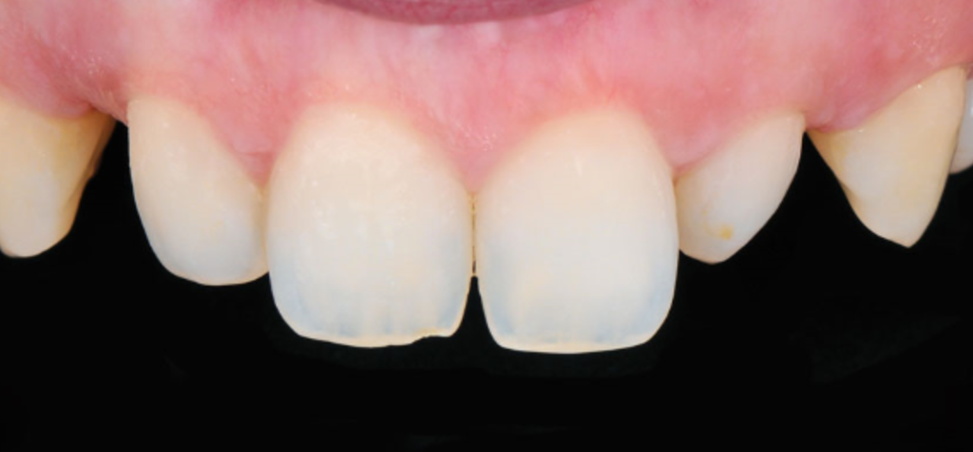
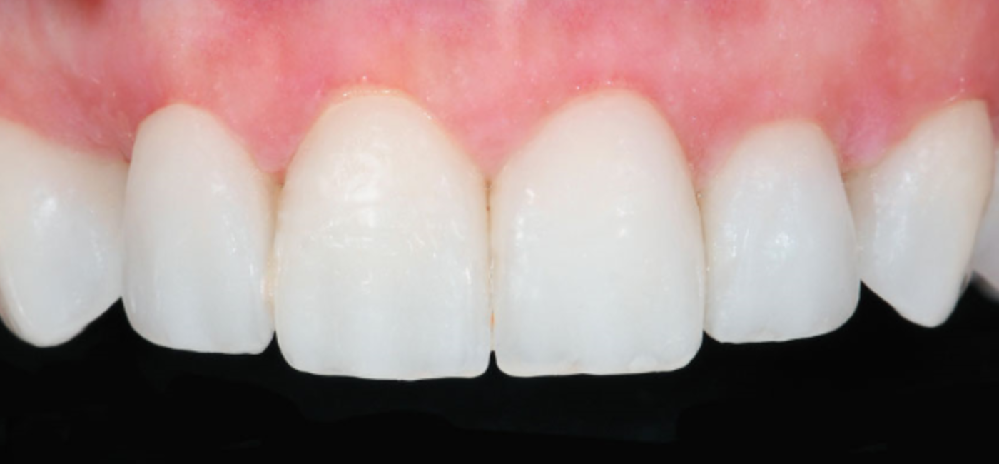
LLas coronas dentales son restauraciones que cubren completamente un diente dañado, devolviéndole forma, función y estética. Este tratamiento se utiliza cuando los dientes están fracturados, desgastados, debilitados o tras un tratamiento de conducto. Una corona actúa como un escudo protector, evitando la fractura del diente y restaurando su apariencia natural.

Coronas Dentales
Coronas Dentales

Procedimiento

El procedimiento consiste en preparar el diente, eliminando parte del esmalte para permitir el ajuste de la corona, seguido de la toma de impresiones o escaneo digital para fabricar una corona a medida en laboratorio. Mientras se fabrica la restauración definitiva, se puede colocar una corona temporal. Finalmente, la corona definitiva se cementa sobre el diente, ajustando la mordida y la estética.

Las coronas dentales son indicadas en dientes con fracturas extensas, después de tratamientos endodónticos, para mejorar la estética o en dientes con desgaste severo. Permiten proteger el diente, restaurar la función masticatoria y ofrecer un resultado estético duradero. Los cuidados incluyen evitar morder objetos duros y mantener una higiene oral rigurosa para prolongar la vida útil de la corona.

Instagram preview

¡Conéctate con nosotros!

Descubre lo que hacemos día a día en nuestra cuenta de Instagram.

Síguenos ahora