Dentales, óseas, musculares o gingivales

Sonrisa Ginvival

Sonrisa Ginvival Sonrisa Ginvival

Sonrisa Ginvival

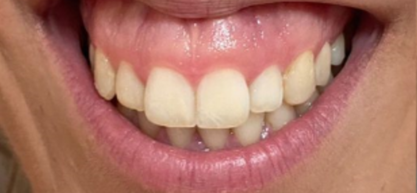
Lsonrisa gingival es una condición estética en la que, al sonreír, se muestra una cantidad excesiva de encía en relación con los dientes y el contorno labial. Aunque no representa un problema de salud, muchas personas la consideran una alteración estética, ya que puede hacer que los dientes parezcan más cortos o desproporcionados. En términos odontológicos, se considera sonrisa gingival cuando se exponen más de 3 a 4 milímetros de encía al sonreír.

Las causas de la sonrisa gingival pueden ser dentales, óseas, musculares o gingivales. En algunos casos, se debe a un exceso de encía que cubre parte de la corona dental, un fenómeno conocido como erupción pasiva alterada. En otros, la causa es esquelética, por un crecimiento vertical excesivo del maxilar superior que hace que los dientes y encías desciendan más al sonreír. También puede deberse a un labio superior corto o con hipermovilidad, lo que provoca una mayor exposición de las encías, o a dientes pequeños por desgaste o fractura. En muchos pacientes, la sonrisa gingival se origina por la combinación de varios de estos factores.

El tratamiento de la sonrisa gingival depende directamente de la causa. Cuando se debe a un exceso de tejido gingival, el procedimiento más común es la gingivectomía o alargamiento coronario, una cirugía mínimamente invasiva que consiste en remodelar la encía y, en ocasiones, el hueso subyacente para exponer más superficie dental. Este procedimiento mejora la proporción entre dientes y encía, logrando una sonrisa más armónica y natural.

Sonrisa Ginvival
Sonrisa Ginvival

En los casos en que el problema es esquelético, puede requerirse un tratamiento ortodóncico o incluso una cirugía ortognática para reposicionar el maxilar superior. Si la causa está relacionada con la hipermovilidad del labio, puede optarse por técnicas de reposición labial, aplicación de toxina botulínica (botox) o procedimientos quirúrgicos que limitan el movimiento excesivo del músculo elevador del labio. En situaciones leves, el uso de carillas o coronas puede mejorar visualmente la proporción de los dientes, logrando un resultado estético satisfactorio sin intervenciones mayores.

Beneficios

Los beneficios del tratamiento van más allá del aspecto estético. Corregir la sonrisa gingival no solo mejora la apariencia facial y la confianza del paciente, sino que también puede facilitar la higiene oral, ya que una correcta proporción entre dientes y encía favorece el acceso al cepillado y reduce la acumulación de placa bacteriana. Además, contribuye al equilibrio facial, mejorando la relación entre labios, dientes y encías.

El procedimiento de corrección es generalmente seguro y de rápida recuperación, especialmente cuando se realiza con láser o técnicas mínimamente invasivas. En pocos días el paciente puede retomar sus actividades normales, observando una mejora visible de la sonrisa casi de inmediato. Los resultados suelen ser duraderos, especialmente cuando se mantiene una adecuada salud periodontal y se siguen las recomendaciones del especialista.

Instagram preview

¡Conéctate con nosotros!

Descubre lo que hacemos día a día en nuestra cuenta de Instagram.

Síguenos ahora