Golpes, caídas o accidentes

Traumatismos Dentales

Traumatismos Dentales Traumatismos Dentales

Traumatismos Dentales

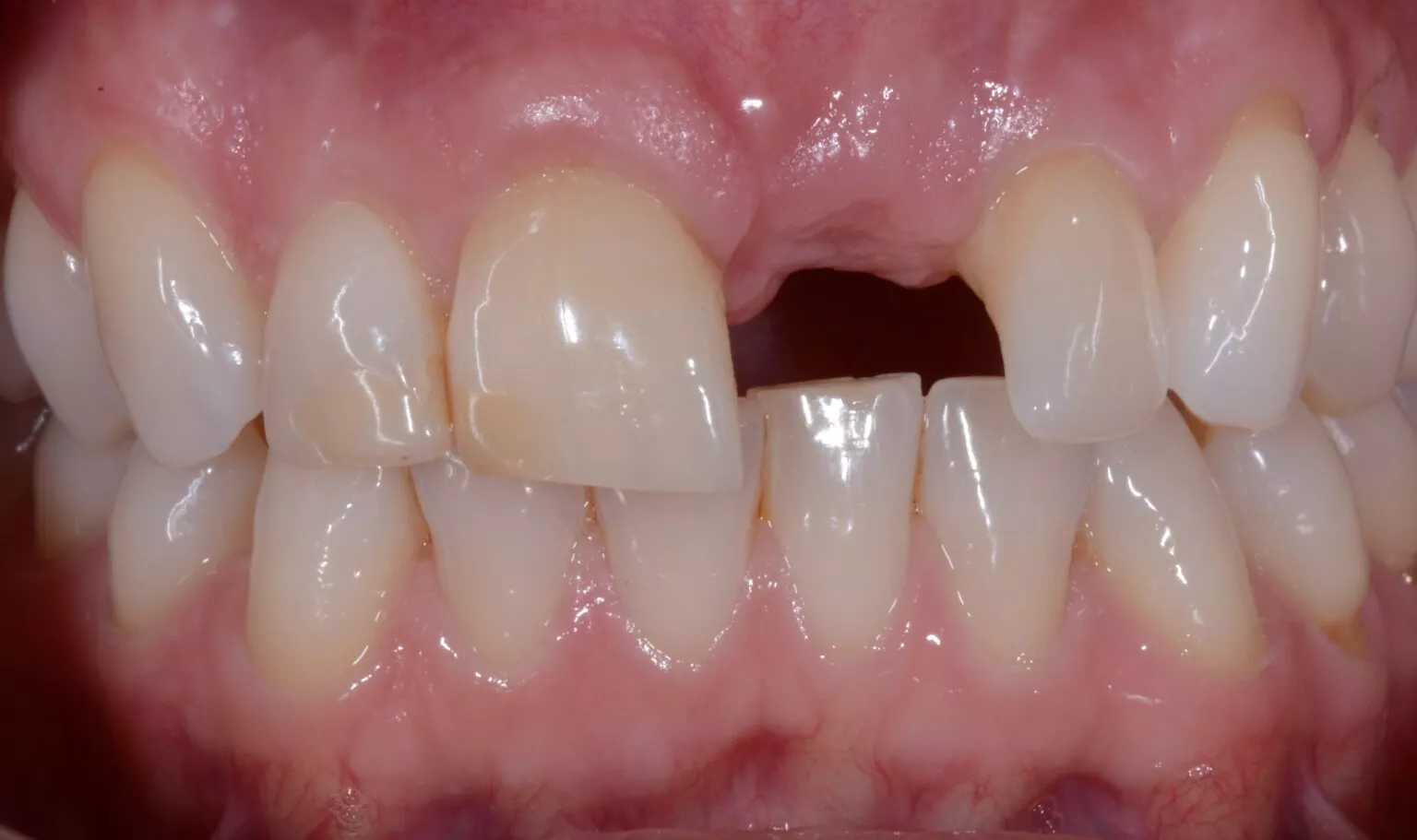
Los traumatismos dentales son lesiones que afectan a los dientes y las estructuras de soporte, como el hueso alveolar, las encías y el ligamento periodontal, generalmente causadas por golpes, caídas, accidentes deportivos o de tránsito. Pueden variar desde una leve fractura del esmalte hasta la pérdida completa del diente. Este tipo de lesión requiere atención inmediata, ya que un tratamiento oportuno puede marcar la diferencia entre conservar o perder la pieza dental.

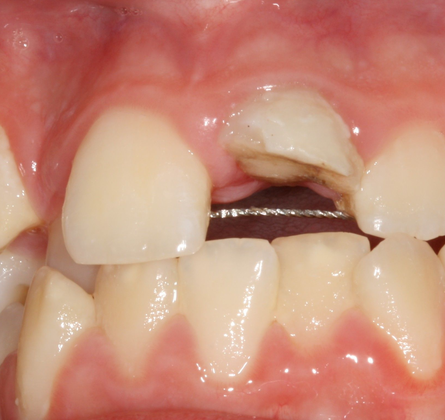
Existen distintos tipos de traumatismos: las fracturas dentales, que pueden afectar solo el esmalte o llegar hasta la pulpa; las luxaciones, en las que el diente se mueve de su posición original dentro del hueso; y las avulsiones, cuando el diente se sale completamente del alveolo. También pueden presentarse lesiones en los tejidos blandos de la boca y labios, o daños en el hueso que sostiene los dientes. En todos los casos, el diagnóstico se realiza mediante examen clínico y radiográfico, para determinar el alcance exacto del daño.

Traumatismos Dentales
Traumatismos Dentales

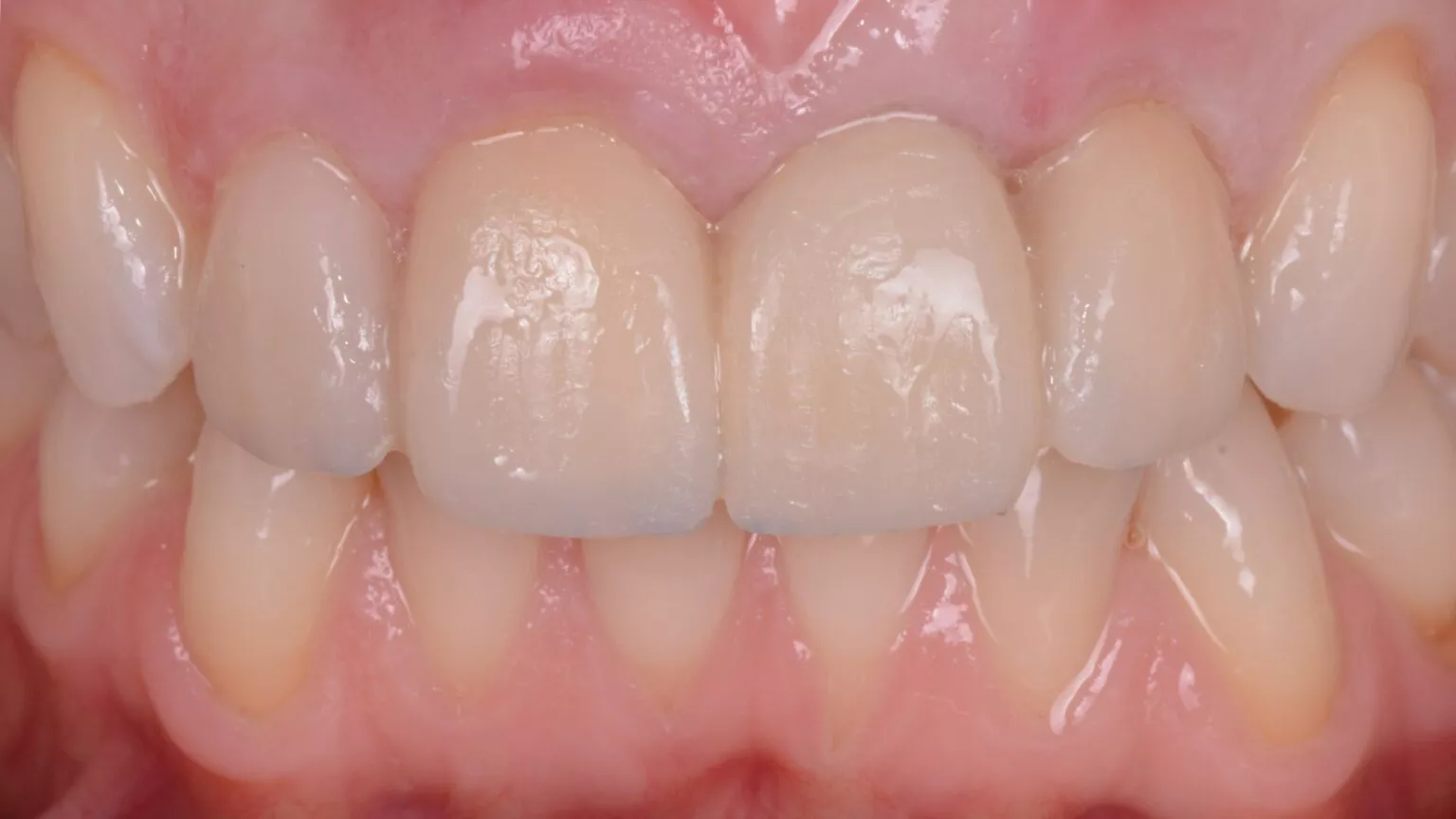
El tratamiento dependerá del tipo y la gravedad del traumatismo. En fracturas leves puede bastar con una restauración estética mediante resina; si la pulpa está comprometida, puede requerirse un tratamiento de conducto o endodoncia. En casos de desplazamiento, el diente puede ser recolocado y estabilizado con una férula temporal. Si el diente ha sido completamente avulsionado, es posible reimplantarlo, siempre que se conserve adecuadamente (idealmente en leche o solución salina) y se acuda al dentista en menos de una hora.

Beneficios

Los beneficios de un tratamiento adecuado y temprano incluyen la preservación del diente natural, la prevención de infecciones, la conservación de la estética y la función masticatoria, así como la protección de las estructuras vecinas. Ignorar un traumatismo dental puede conducir a complicaciones como necrosis pulpar, pérdida ósea o reabsorción radicular.

Instagram preview

¡Conéctate con nosotros!

Descubre lo que hacemos día a día en nuestra cuenta de Instagram.

Síguenos ahora