Injerto Gingival

Injerto de Encías

Injerto de Encías Injerto de Encías

Injerto de Encías

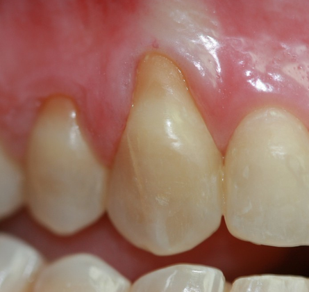
Einjerto de encías, también conocido como injerto gingival, es un procedimiento quirúrgico odontológico que tiene como objetivo restaurar o aumentar el tejido gingival perdido alrededor de uno o varios dientes. Se utiliza principalmente para tratar la recesión gingival, una condición en la que la encía se retrae dejando expuesta parte de la raíz del diente, lo que puede causar sensibilidad, riesgo de caries radicular, problemas estéticos y, en casos severos, pérdida de soporte del diente.

Durante el procedimiento, el odontólogo o periodoncista toma una pequeña porción de tejido, generalmente del paladar (encía del propio paciente), o utiliza materiales biocompatibles donados o sintéticos, para colocarla en la zona afectada. Este tejido se sutura y se integra progresivamente con la encía existente, cubriendo la raíz expuesta y fortaleciendo la zona. El proceso se realiza bajo anestesia local y, en la mayoría de los casos, la recuperación es rápida y poco dolorosa si se siguen las indicaciones posoperatorias.

Injerto de Encías
Injerto de Encías

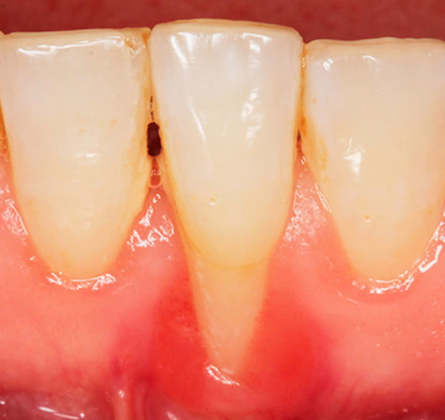
Existen varios tipos de injertos de encía, dependiendo de la necesidad del paciente. El injerto de tejido conectivo es el más habitual y se emplea para cubrir raíces expuestas mediante la toma de una fina capa del paladar. El injerto libre de encía se utiliza para aumentar el espesor del tejido gingival, especialmente en zonas donde la encía es muy delgada. También existen los injertos pediculados, en los que el tejido proviene de una zona cercana al defecto y se traslada manteniendo su irrigación. En algunos casos, se emplean matrices dérmicas o biomateriales, evitando así la necesidad de una segunda zona quirúrgica.

Beneficios

Los beneficios del injerto de encías son notables tanto desde el punto de vista funcional como estético. Este procedimiento protege las raíces dentales expuestas, disminuye la sensibilidad al frío o al calor, detiene el avance de la recesión, facilita una mejor higiene oral y mejora la apariencia de la sonrisa al devolver una línea gingival más natural y simétrica. Además, refuerza la estabilidad de los tejidos blandos alrededor de los dientes o implantes, lo que contribuye a la salud periodontal a largo plazo.

El éxito del injerto depende de una adecuada planificación, una técnica quirúrgica precisa y una buena colaboración del paciente en el postoperatorio. Es fundamental mantener una excelente higiene oral, evitar el cepillado agresivo sobre la zona tratada y seguir las recomendaciones del especialista. En los días posteriores, se aconseja una dieta blanda, evitar fumar y asistir a las revisiones programadas.

Aunque es un procedimiento seguro, pueden presentarse pequeñas molestias, inflamación o sangrado leve, que suelen controlarse fácilmente con medicación y cuidados básicos. Las complicaciones más raras incluyen la pérdida parcial del injerto o la persistencia de la recesión si la causa principal (como un cepillado incorrecto o enfermedad periodontal activa) no se corrige.

Instagram preview

¡Conéctate con nosotros!

Descubre lo que hacemos día a día en nuestra cuenta de Instagram.

Síguenos ahora