Tratamiento de conducto o endodoncia

Root Canal

Root Canal Root Canal

Root Canal

El Root Canal, conocido en español como tratamiento de conducto o endodoncia, es un procedimiento odontológico cuyo objetivo es eliminar la infección o el tejido dañado del interior del diente, conservar su estructura y evitar su extracción. Se realiza cuando la pulpa dental —el tejido blando que contiene nervios, vasos sanguíneos y células dentro del diente— se inflama o se infecta debido a caries profundas, fracturas, traumatismos o tratamientos repetidos en la misma pieza.

Cuando la pulpa se ve afectada, el paciente suele experimentar dolor intenso, sensibilidad prolongada al calor o al frío, inflamación e incluso abscesos. Si no se trata a tiempo, la infección puede extenderse al hueso o a otras zonas de la boca, provocando complicaciones graves. El tratamiento de conducto permite eliminar la causa del problema, desinfectar el interior del diente y sellarlo herméticamente para evitar una reinfección, manteniendo así la pieza funcional durante muchos años.

Root Canal
Root Canal

Procedimiento

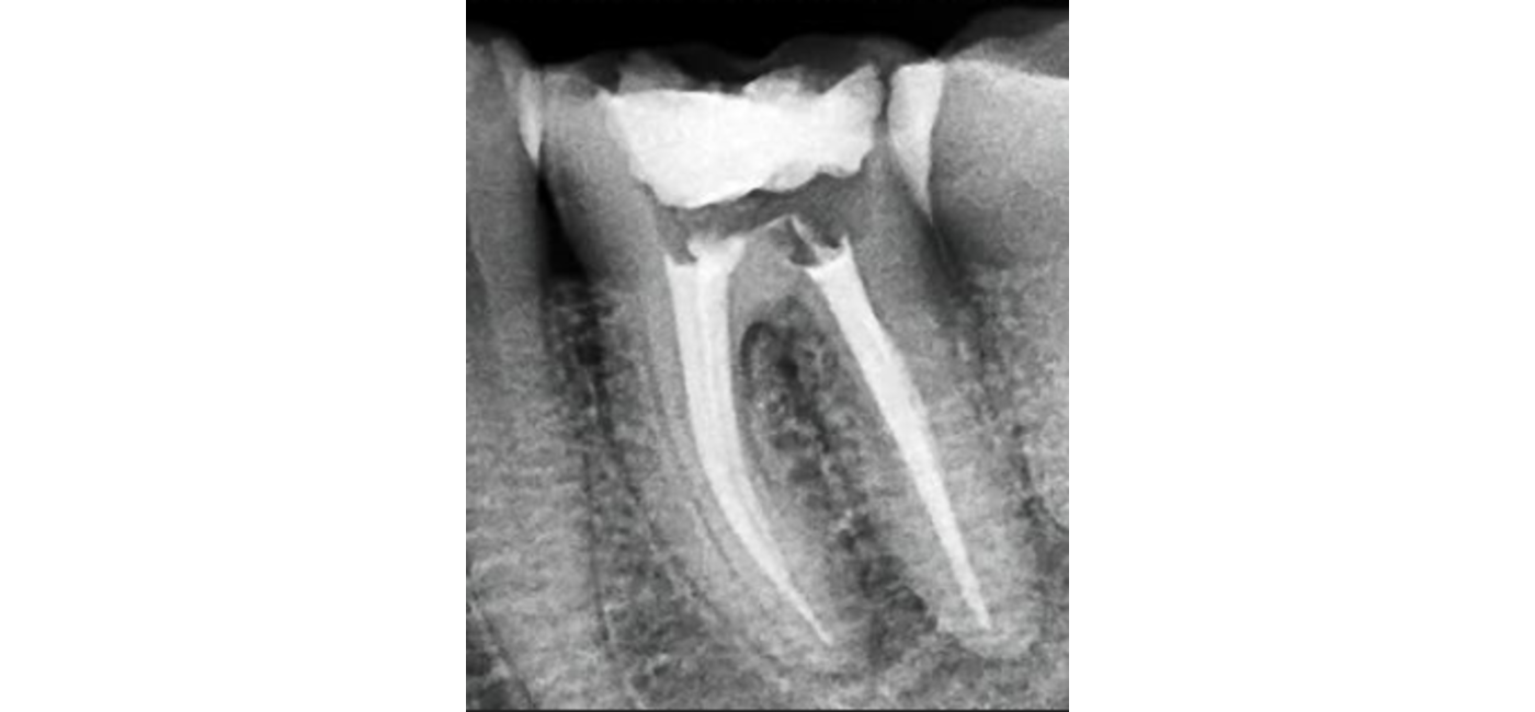
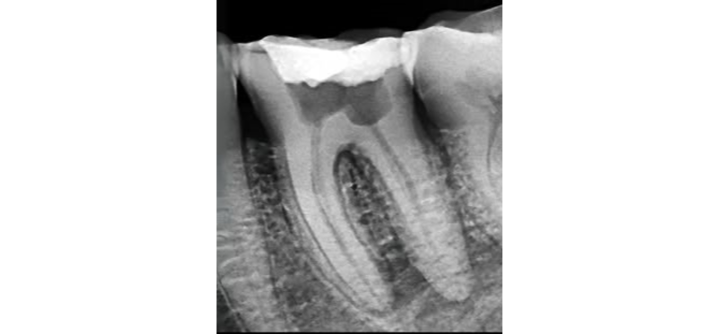
El procedimiento se realiza bajo anestesia local y se lleva a cabo en varias fases. Primero, el odontólogo o endodoncista accede a la cámara pulpar del diente para extraer la pulpa dañada. Luego, se limpian y desinfectan cuidadosamente los conductos radiculares con instrumentos especializados y soluciones antimicrobianas. Posteriormente, estos conductos se rellenan con un material biocompatible, generalmente gutapercha, que sella el interior del diente. Finalmente, se coloca una restauración temporal o definitiva, como una corona, para proteger el diente y devolverle su forma y función.

Gracias a los avances tecnológicos, la endodoncia moderna se realiza con equipos rotatorios, lupas de aumento, radiografías digitales y localizadores electrónicos de ápice, lo que garantiza una mayor precisión, rapidez y confort para el paciente. En la mayoría de los casos, el tratamiento se completa en una o dos sesiones y el alivio del dolor es casi inmediato.

Beneficios

Los beneficios del tratamiento de conducto son significativos. Permite salvar un diente natural que de otro modo tendría que extraerse, manteniendo la alineación y estabilidad de los dientes vecinos, y evitando así el uso de prótesis o implantes. Además, restaura la función masticatoria, mejora la estética y conserva la estructura ósea del maxilar. A nivel económico, suele ser una alternativa más accesible que la sustitución del diente por un implante.

Después del tratamiento, es normal experimentar una ligera sensibilidad durante algunos días, la cual desaparece progresivamente. Es fundamental seguir las recomendaciones del odontólogo, mantener una buena higiene oral y acudir a controles periódicos. En ciertos casos, puede ser necesario reforzar el diente con una corona para evitar fracturas, especialmente cuando la estructura dental remanente es limitada.

Instagram preview

¡Conéctate con nosotros!

Descubre lo que hacemos día a día en nuestra cuenta de Instagram.

Síguenos ahora