Estructuras de titanio o zirconio

Implantes Dentales

Implantes Dentales Implantes Dentales

Implantes Dentales

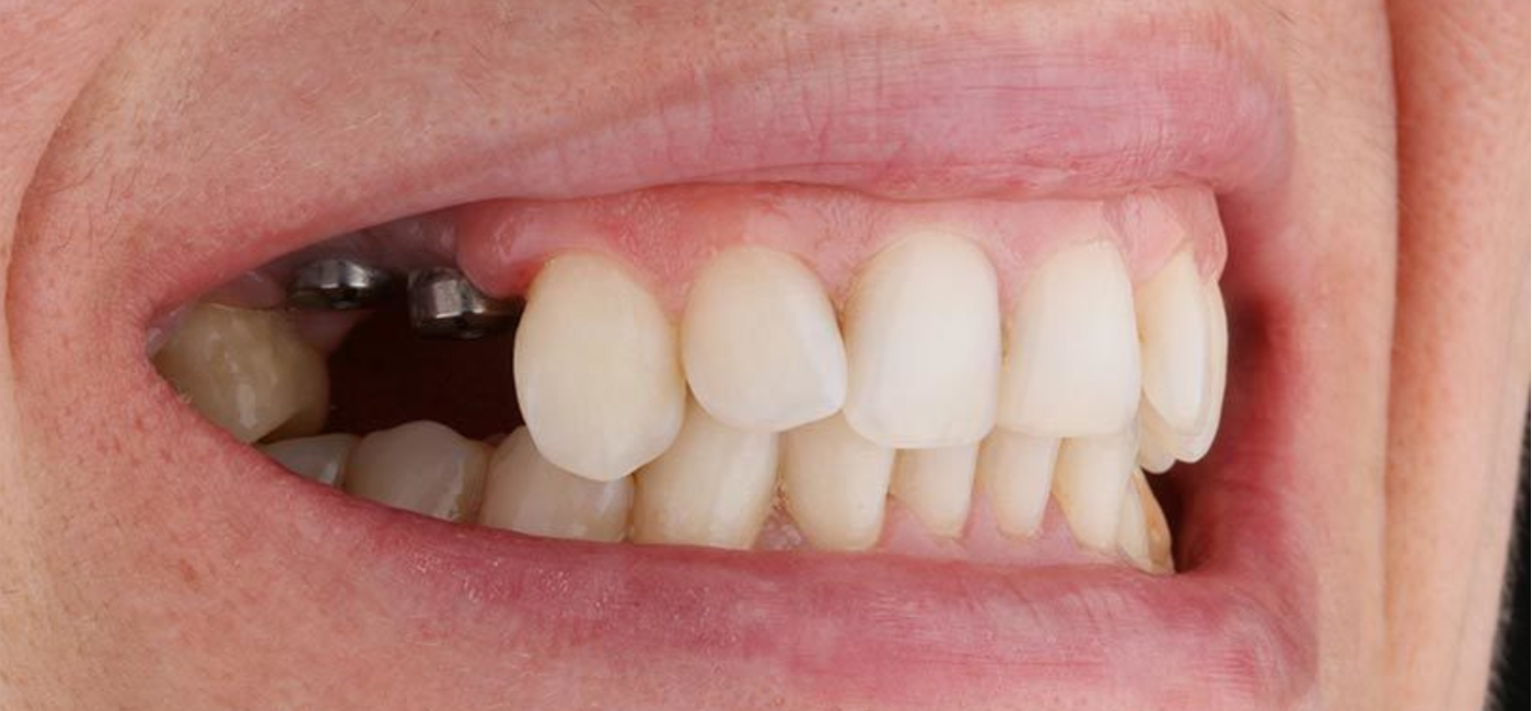
Los implantes dentales son estructuras de titanio o zirconio que reemplazan la raíz de un diente perdido, sobre las cuales se coloca una corona o prótesis que imita el diente natural tanto en forma como en función. Constituyen hoy en día la alternativa más avanzada y duradera para restaurar piezas dentales ausentes, ya que se integran al hueso mediante un proceso biológico llamado osteointegración, proporcionando una base sólida y permanente.

El tratamiento comienza con una evaluación clínica y radiográfica para determinar la cantidad y calidad del hueso disponible. Si el paciente es apto, se procede a la colocación quirúrgica del implante, seguida de un período de cicatrización que puede durar de tres a seis meses, durante el cual el implante se fusiona con el hueso. Posteriormente se instala un pilar que servirá de soporte a la corona definitiva. En algunos casos, dependiendo de la estabilidad del implante y las condiciones óseas, es posible colocar una corona provisional el mismo día de la cirugía, lo que se conoce como carga inmediata.

Implantes Dentales
Implantes Dentales

Beneficios

Los beneficios de los implantes son múltiples. Permiten recuperar la función masticatoria y la estética facial de manera muy similar a los dientes naturales. Además, previenen la pérdida ósea que ocurre tras la extracción de un diente, mejoran la pronunciación y proporcionan una sensación de estabilidad y confort superior a la de las prótesis removibles. A diferencia de los puentes convencionales, los implantes no requieren tallar los dientes adyacentes, preservando la integridad de las piezas sanas. Cuando se cuidan adecuadamente, pueden durar más de veinte años o incluso toda la vida.

Para lograr un resultado exitoso, el paciente debe gozar de buena salud general y bucal, mantener una higiene rigurosa y acudir periódicamente a controles odontológicos. Existen algunas contraindicaciones, como enfermedades sistémicas no controladas, tabaquismo excesivo, infecciones activas o falta severa de hueso sin posibilidad de injerto. Aunque el índice de éxito de los implantes supera el 95 %, pueden presentarse complicaciones como infecciones, fallos en la osteointegración o pérdida de soporte óseo si no se realiza un mantenimiento adecuado.

Los avances tecnológicos han permitido que la implantología evolucione notablemente. Hoy se utilizan sistemas guiados por computadora para colocar los implantes con mayor precisión, materiales cerámicos para una mejor estética y superficies nanotratadas que aceleran la integración ósea. Si bien la inversión inicial es mayor que la de otras alternativas, su durabilidad, estabilidad y naturalidad los convierten en una solución a largo plazo.

Instagram preview

¡Conéctate con nosotros!

Descubre lo que hacemos día a día en nuestra cuenta de Instagram.

Síguenos ahora